top of page

Watch Class Movie
teacher Prep
Lab sheet & activites
Class Movie
Watch Class Movie
Class Movie

Teacher Prep Movie
​

Lab Materials Needed
Blockey Koa Crate
​
from Kea STEMCrate
- 1 Springy Spring Scale per student
Student Lab Sheet

Discovering Cells
"I really didn't get what a cell was but after this lab I understand what cells are."
Student - 6th grade.
Students explore plant cells to see cell walls, vacuoles and nuclei through the microscope. Two pigmentations are used to highlight different elements in the samples needed to better visualize them.
Cell Walls, Organelles, and Size





Journal Article Link
teacher Prep
Watch Class Movie
Lab sheet & activites

Class Movie



Teacher Prep Movie
​
Teacher Edition Lab Sheet
​



Lab Assistant
Student Lab Sheet


Lab Materials Needed
​
from Kea STEMCrate
- 1 Mezzie Measuring Tape per student
- 1 Petri Dish per student
- 3 Iodine droppers
-3 Methalane Blue droppers
-3 Vegetable Peelers
​
Additional Materials Needed
- plastic table cloth or cut trash bag to cover sample prep tables
​
Potato Cells
(methalane blue dye to highlight cell walls)




Potato Cells - No Pigment
(Cell walls do not stand out from organelles)
Potato Cells - Iodine
(See how the iodine penetrates the cells)
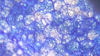
Potato Cells - Blue
(See how the methylene blue stays on the outside of the cell wall)
Cell wall
Vacuole (Organele)



Tomato Cells - No Pigment
(Cell walls do not stand out well)
Tomato Cells - Iodine
(Nucleus view enhanced)
Tomato Cells - Blue
(Cell wall view enhanced)

Spirolina Cells - No Dye
(Cells stacked end to end - spiral chloroplast ribbon easily visible)
In class Movie

Class Movie

Teacher Prep Movie
bottom of page

